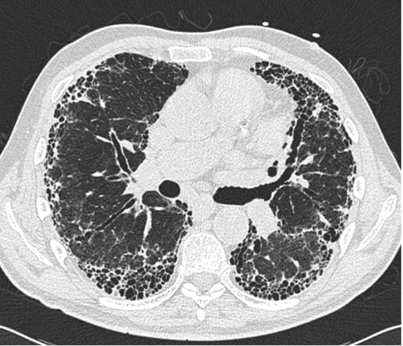
A 71-year-old man presents with complaints of a dry cough and progressive dyspnea on exertion for the past year. He is a former cigarette smoker with an 18 pack-year history. His respiratory symptoms worsened after having a SARS-CoV-2 infection approximately 6 months ago, for which she was treated as an outpatient with a 5-day course of nirmatrelvir/ritonavir (Paxlovid). He unfortunately developed “rebound COVID” though clinically asymptomatic at this time. He has a history of hypertension that is well controlled on hydrochlorothiazide (HCTZ). His family history is notable for his mother who died from “pulmonary fibrosis.” Review of systems is otherwise unremarkable with no occupational or environmental exposures. Physical examination is normal except for bibasilar crackles noted on lung examination. Comprehensive lab testing including an antinuclear antibody and rheumatoid factor are unremarkable. Pulmonary function testing shows a TLC 70%, FVC 70%, FEV1 75%, FEV1/FVC 84% and DLCO 70%. A high-resolution CT chest is performed with 2 images shown.

Which of the following is the best initial management of this patient's condition?
The correct answer is:
C) Nintedanib (OFEV) 150 mg twice daily
This patient has idiopathic pulmonary fibrosis (IPF) on the basis of the chest CT imaging showing a typical usual interstitial pneumonia (UIP) pattern of peripheral, basilar-predominant reticulation with traction bronchiectasis and honeycombing fibrosis and the negative work-up for underlying causes of pulmonary fibrosis. In order to diagnose IPF, a comprehensive evaluation for any relevant secondary causes for pulmonary fibrosis such as medications, pets, home, or work exposures to suggest hypersensitivity pneumonitis or occupational lung disease must be done. Also, rheumatologic diseases such as rheumatoid arthritis, scleroderma or SLE must also be evaluated if clinically indicated based of the history, physical exam or laboratory results. Bronchoscopy with biopsy or surgical lung biopsy is unnecessary for diagnosis in this case given the classic CT chest findings and would only subject the patient to an increased risk of morbidity and mortality. Patients with IPF should be offered antifibrotic therapy with either nintedanib or pirfenidone, either of which has been demonstrated to slow the progression in the decline in FVC.
Answer choice A: Azathioprine 150 mg daily, is incorrect. Azathioprine is associated with worse outcomes in chronic IPF patient management.
Answer choice B: Lung transplant, is incorrect. All IPF patients should be evaluated for lung transplant, but this would not be the next step in management of this patient.
Answer choice D: Prednisone 60 mg daily for 1 month with slow taper, is incorrect. Prednisone is associated with worse outcomes in chronic IPF patient management.
Answer choice E: Rituximab intravenously every 6 months, is incorrect. There is no strong evidence or recommendations for rituximab in the chronic management of IPF at this time.